Understanding the stages of gum recession is important for maintaining oral health and avoiding further damage. This common dental issue can start subtly, often going unnoticed until it becomes more severe. What are the stages of gum recession, and how can they impact your teeth and gums? In this article, we’ll explore each stage, from initial signs to advanced progression, and discuss the treatment options available to manage and reverse the effects. Keep reading to uncover the details and protect your smile.
Early Signs of Gum Recession
Noticing the early signs of gum recession is crucial for maintaining optimal oral and gum health and preventing further damage. Gum recession often starts subtly, making it easy to overlook. Here are the key indicators to watch for:
Bleeding Gums: One of the first signs of gum recession is bleeding gums, especially during brushing or flossing. This can indicate inflammation of gum tissues and the onset of gum disease.
Swollen Gums: Gums may appear red, swollen, or tender, signaling the beginning stages of gum tissue breakdown.
Tooth Sensitivity: Intensified sensitivity to hot, cold, or sweet foods and drinks can occur as the gum line recedes, exposing the tooth roots.
Receding Gums: Visibly shrinking gums or teeth that appear longer than usual are direct signs of gum recession.
Persistent Bad Breath: Chronic bad breath or a bad taste in the mouth can be symptoms of plaque buildup and early periodontal disease.
Tooth Mobility: Slightly loose teeth can indicate the weakening of the supporting bone and gum tissue.
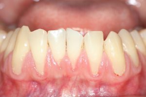
Mild Gum Recession: Causes and Symptoms
Mild gum recession is an early stage of gum disease where the gums start to pull back slightly from the teeth, exposing more of the tooth or its root. Understanding the causes and symptoms of mild gum recession is important for early intervention and prevention of more severe dental issues. Here’s what you need to know:
Causes:
- Poor Oral Hygiene: Insufficient brushing and flossing can contribute to developing plaque buildup, which can cause gum inflammation and recession.
- Aggressive Brushing: Brushing too hard or using a hard toothbrush can wear down the gum tissue.
- Genetics: Genetic factors make Some individuals more prone to gum recession.
- Tobacco Use: Smoking can harm gum tissue and contribute to gum recession.
- Periodontal Disease: Early-stage gum disease (gingivitis) can progress to cause mild gum recession.
- Hormonal Changes: Fluctuations in hormone levels, especially in women, can render gums more delicate and susceptible to recession.
- Grinding or Clenching Teeth: Excessive force on the teeth can cause gums to recede.
- Misaligned Teeth or Bite Issues: Improper alignment can place additional stress on the gums, leading to recession.
Symptoms:
- Visible Gum Changes: Gums that appear slightly pulled back from the teeth, making teeth look longer.
- Tooth Sensitivity: Increased sensitivity to temperature changes and sweet or acidic foods due to exposed tooth roots.
- Bleeding Gums: Gums may bleed when brushing or flossing, indicating inflammation.
- Swollen or Red Gums: Mild inflammation and swelling in the gum tissue.
- Bad Breath: Persistent bad breath or a bad taste in the mouth, often due to plaque buildup.
- Loose Teeth: Sometimes, teeth may feel slightly loose as the supporting gum tissue weakens.
Addressing mild gum recession early can prevent further progression and more severe dental issues. Maintaining good oral hygiene, using a soft-bristled toothbrush, and seeing your dentist routinely for examinations and cleanings are crucial for controlling and preventing mild gum recession.
Moderate Gum Recession: Progression and Impact

Moderate gum recession occurs when the initial signs of gum recession have not been addressed, leading to further progression. At this stage, more significant gum and soft tissue loss and tooth root exposure can occur, posing greater risks to oral health. Understanding the progression and impact of moderate gum recession is essential for effective management and prevention of severe complications. Here’s what you need to know:
Progression:
- Increased Plaque Buildup: As gums recede further, plaque and tartar accumulate more easily around the roots of the teeth, exacerbating the recession.
- Worsening Inflammation: If left untreated, continued gum inflammation can cause more extensive damage to the gum tissue and supporting structures.
- Deeper Periodontal Pockets: The formation of deeper pockets between the teeth and gums can provide a haven for bacteria and lead to further gum and bone loss.
- Bone Loss: Moderate gum recession is often accompanied by some degree of bone loss, which weakens the teeth’ support.
Impact:
- Increased Tooth Sensitivity: Greater exposure of the tooth roots can lead to heightened sensitivity to hot, cold, sweet, or acidic foods and drinks.
- Aesthetic Concerns: Receding gums can make teeth appear longer and more uneven, impacting the appearance of your smile.
- Higher Risk of Tooth Decay: Exposed roots are more susceptible to decay, increasing the risk of cavities and further dental complications.
- Gum Infections: The likelihood of developing gum infections and abscesses increases as the recession progresses.
- Tooth Mobility: Teeth may become noticeably loose due to the loss of supporting gum and bone structures.
- Potential for Tooth Loss: Without intervention, moderate gum recession can lead to the eventual loss of affected teeth.
Addressing moderate gum recession involves more intensive dental care and intervention than mild cases. Treatments may include:
- Scaling and Root Planing: Intensive cleaning techniques to get rid of plaque and tartar from beneath the gum line and smooth the root surfaces to encourage reattachment of the gum tissue.
- Antibiotic Therapy: Use of antibiotics to treat and prevent infections in the gum tissue.
- Gum Grafting: Surgical procedures to restore lost gum tissue and cover exposed roots.
- Ongoing Maintenance: Routine dental examinations and professional cleanings to track the condition and halt further advancement.
Severe Gum Recession: Advanced Symptoms and Risks

Severe gum recession represents the most advanced stage of gum tissue loss, where significant portions of the gum have receded, exposing a large amount of the tooth root. This stage poses serious risks to dental health and requires immediate intervention to prevent tooth loss and other complications. Understanding the advanced symptoms and risks associated with severe and advanced gum disease and recession is essential for effective treatment and management. Here’s what you need to know:
Advanced Symptoms:
Extensive Tooth Root Exposure: At this stage, a significant portion of the tooth root is exposed, leading to extreme sensitivity to hot, cold, sweet, or acidic foods and beverages.
Severe Tooth Sensitivity: Increased sensitivity can cause significant discomfort and affect eating and drinking habits.
Pronounced Tooth Mobility: Teeth may become noticeably loose due to the loss of supporting gum tissue and bone structure.
Visible Gum Loss: The gums appear significantly pulled back, making teeth look elongated and uneven. This can significantly affect the appearance of your smile.
Persistent Inflammation: Chronic inflammation and swelling of the gums are common, often accompanied by bleeding during brushing or flossing.
Deep Periodontal Pockets: The formation of deep pockets between the teeth and gums can harbor harmful bacteria and contribute to further tissue and bone loss.
Bad Breath: Chronic bad breath or an unpleasant taste in the mouth due to bacterial buildup in deep periodontal pockets.
Risks:
- Tooth Loss: The most significant risk of severe gum recession is the potential loss of affected teeth due to weakened gum tissue and bone support.
- Increased Risk of Infection: Deep periodontal pockets and exposed roots are prone to infections, which can spread and cause abscesses or systemic health issues.
- Bone Loss: Progressive bone loss can compromise the teeth’ stability and overall oral health.
- Gum Disease Complications: Severe gum recession is often associated with advanced periodontal disease, leading to serious dental and health problems if not treated promptly.
- Difficulty in Chewing: Loose and sensitive teeth can make chewing food difficult and uncomfortable, affecting nutrition and overall health.
- Impact on Overall Health: Chronic inflammation and gum infections can have systemic effects, potentially contributing to heart disease and diabetes.
Treatment Options for Different Stages of Gum Recession

Treating gum recession effectively depends on the stages of gum disease and the severity of the condition. Here’s an overview of treatment options for the various stages of gum recession:
Early Stage Gum Recession:
- Improved Oral Hygiene: Proper brushing and flossing techniques can help prevent further recession. A soft-bristled toothbrush and gentle strokes are recommended.
- Regular Dental Cleanings: Professional dental cleanings eliminate plaque and tartar buildup that can lead to gum recession. Regular examinations also enable early identification and treatment.
- Desensitizing Toothpaste: To manage tooth sensitivity, special toothpaste can help reduce discomfort caused by exposed tooth roots.
Mild Gum Recession:
- Scaling and Root Planing: This thorough cleaning eliminates plaque and tartar from beneath the gum line and polishes the root surfaces to promote gum reattachment.
- Antibacterial Mouthwash: An antibacterial rinse can help manage the bacteria responsible for gum disease and inflammation.
- Night Guards: For patients who clench their teeth, a night guard can alleviate pressure on the gums and teeth, preventing further recession.
Moderate Gum Recession:
- Gum Grafting: Surgical procedures such as connective tissue grafts or free gingival grafts can cover exposed roots and restore gum tissue. This helps protect the roots from further damage and improves the appearance of the gums.
- Pinhole Surgical Technique (PST): A minimally invasive procedure done by making small holes in the gum tissue to loosen and reposition it over the exposed roots.
- Laser Therapy: Laser treatments can remove infected tissue and bacteria, promoting healing and reducing gum inflammation.
Severe Gum Recession:
- Advanced Gum Grafting: To restore a significant amount of lost gum tissue, more extensive grafting procedures may be necessary.
- Guided Tissue Regeneration: This surgical procedure uses a membrane to guide the growth of new bone and gum tissue around the affected areas.
- Bone Grafts: To address bone loss associated with severe gum recession, bone grafts can help rebuild the supporting bone structure.
- Periodontal Surgery: In cases of advanced periodontal disease, surgical intervention may be required to thoroughly clean the root surfaces and remove deep-seated plaque and tartar.
In conclusion, recognizing the stages of gum recession is crucial for preserving healthy gums and avoiding severe dental problems. Early detection and proper treatment can stop the progression and even reverse some damage. Regular dental check-ups, good oral hygiene, and timely intervention are key to effectively managing the stages of gum recession. Consult your dentist at Gordon Family Dental if you observe any symptoms to safeguard your smile and preserve optimal oral health.
References
Periodontal Disease (Gum Disease): Causes, Symptoms & Treatment
https://my.clevelandclinic.org/health/diseases/21482-gum-periodontal-disease
Gum disease – NHS
https://www.nhs.uk/conditions/gum-disease/
Diabetes, Gum Disease, & Other Dental Problems – NIDDK
https://www.niddk.nih.gov/health-information/diabetes/overview/preventing-problems/gum-disease-dental-problems
Periodontitis – Diagnosis and treatment – Mayo Clinic
https://www.mayoclinic.org/diseases-conditions/periodontitis/diagnosis-treatment/drc-20354479
Gum disease – Better Health Channel
https://www.betterhealth.vic.gov.au/health/conditionsandtreatments/gum-disease

