Experiencing receding gums in your 20s might seem uncommon, but it’s a reality for many young adults. This early onset of gum recession can be alarming, raising concerns about long-term oral health. In this article, we explore why this happens to individuals in their 20s, examining potential causes and the importance of early intervention. Stay tuned to discover how to prevent further damage and maintain healthy gums, even at a young age.
Can you Develop Receding Gums in Your 20s?
Yes, it is entirely possible to develop receding gums in your 20s. While gum recession is often associated with older age due to wear and tear over time, several factors can accelerate this process and make it evident in younger adults.
Key contributors include genetic predisposition, aggressive brushing habits, poor oral hygiene, and periodontal disease. Furthermore, lifestyle factors such as smoking and the use of tobacco products significantly heighten the risk. Hormonal changes, dietary habits, and even issues like teeth grinding (bruxism) or having a misaligned bite can also contribute to the early onset of receding gums.
Young adults concerned about gum recession should maintain excellent oral hygiene, visit a Burwood dentist at Good Choice Dental regularly for check-ups and cleanings, and address any contributing behaviors or health issues to manage or prevent further gum recession.
Common Causes of Gum Recession in Young Adults
Gum recession in young adults can be particularly troubling, but understanding the common causes is the first step toward prevention and management. Here are some of the primary factors that contribute to gum recession in this age group:
Genetics
Certain individuals have a genetic predisposition to gum disease, which can result in gum recession. Even with good oral hygiene, these individuals may be more likely to experience gum problems.
Aggressive Brushing

Using a hard-bristled toothbrush or brushing too forcefully can damage enamel and lead to gum recession. To protect both teeth and gum tissue, it’s crucial to use a soft-bristled brush and apply gentle, circular motions when brushing.
Poor Oral Hygiene
Inadequate brushing and flossing allow plaque to build up along the gum line, leading to tartar formation. This accumulation can irritate the gums and cause them to recede. Maintaining good and proper oral hygiene is crucial for preventing gum recession.
Tobacco Use
Smoking can significantly increase the risk of gum disease, which can lead to receding gums. Tobacco use reduces the mouth’s ability to fight off infection, promoting bacterial buildup along the gums.
Periodontal Disease
This is one of the most significant causes of gum recession. Gum disease results from infections that develop from plaque buildup, leading to severe damage to gum tissue and the supporting bone.
Hormonal Changes
Fluctuations in hormones, especially during puberty, pregnancy, and menstruation, can make gums more sensitive to recession.
Bruxism
Grinding or clenching teeth can put excessive force on the teeth and gums, potentially resulting in recession. Often, individuals are unaware of these habits, especially during sleep.
Misaligned Teeth
When teeth do not come together evenly, it can put extra stress and pressure on the gums and bones, encouraging recession.
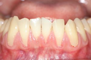
Gum Recession Symptoms to Watch For

Gum recession is a gradual process, and often, the early signs of gum recession can be subtle. However, knowing the symptoms can help catch it early and prevent further damage. Here are some key gum recession symptoms to watch for:
Exposed Tooth Roots: This is one of the most noticeable signs of gum recession. The tooth appears longer than normal as the gum line recedes, exposing more of the tooth’s root. This exposure can increase sensitivity, especially to hot and cold temperatures.
Sensitive Teeth: As the protective gums recede and uncover the roots of your teeth, you may experience increased sensitivity. This sensitivity is typically most noticeable when consuming hot, cold, or sweet foods and drinks.
Loose Teeth: Advanced gum recession can lead to a loss of support for your teeth. You may notice that some teeth begin to feel loose.
Bleeding Gums: While bleeding gums are more commonly associated with gum disease, they can also be a symptom of a receding gum line. You might notice bleeding during brushing or flossing.
Red, Swollen Gums: Inflammation of the gum tissue around the teeth can indicate gum recession and is often a symptom of underlying gum disease.
Visible Gaps or Pockets Between Teeth: As gums recede, they may form pockets between the teeth and gum line. These pockets can close in food particles and bacteria, leading to further oral health issues.
Changes in Tooth Appearance: You may notice a change in how your teeth look; they may appear longer, or the spaces between them may grow as the gums recede.
Pain or Discomfort Around the Gums: Any persistent discomfort or pain around the gums should be investigated as it can be a sign of progressing recession.
The Impact of Lifestyle Choices on Gum Health

Lifestyle choices profoundly impact gum health, influencing the risk and progression of gum diseases, including gum recession. Understanding the connection between daily habits and oral health can help prevent or mitigate gum issues. Here’s how various lifestyle choices affect gum health:
Smoking and Tobacco Use
Tobacco use is one of the most detrimental habits for gum health. It impairs blood flow to the gums, reducing the oxygen and nutrients necessary for gum tissue health. This can lead to weakened defenses against infection, slower healing, and an increased risk of periodontal diseases.
Diet
Consuming foods and drinks high in sugary can vitalize the growth of bacteria that cause gum disease. Acidic foods can further erode gum tissue. Conversely, a diet rich in vitamins and minerals from fruits, vegetables, and nuts can bolster gum health.
Oral Hygiene Practices
Maintaining healthy gums requires regular and effective oral hygiene practices. Brushing, flossing daily, and using mouthwash are essential for take off the plaque and food particles that can irritate the gums and cause disease.
Alcohol Consumption
Excessive alcohol consumption can dehydrate the mouth, reducing saliva flow, which helps protect teeth and gums from bacteria. Chronic alcohol use can raise the risk of gum disease.
Stress
Chronic stress can cause gum inflammation and weaken the immune system, debilitating its ability to fight off the bacteria that cause gum infections. Stress also can lead to neglect of oral hygiene and increase the likelihood of teeth grinding, which can damage gum tissue.
Poor Sleep
Lack of adequate sleep can similarly weaken the immune system and compromise the body’s ability to resist infections, including those that lead to gum disease.
Physical Activity
Regular physical activity boosts the overall immune system, which can help protect against periodontal diseases. Exercise also helps reduce stress, which can benefit oral health.
Preventive Measures to Protect Against Gum Recession

Preventing gum recession is crucial for maintaining oral health and overall well-being. Here are several effective preventive measures that can help protect against gum recession:
Maintain Good Oral Hygiene: Brushing twice daily with a soft-bristled toothbrush and fluoride toothpaste and flossing at least once daily are fundamental steps. These practices help remove plaque, a sticky film of bacteria that can cause gum disease, leading to recession.
Use Proper Brushing Technique: Aggressive brushing or a hard-bristled toothbrush can damage gum tissue and cause it to recede. Use gentle, circular motions instead of harsh, back-and-forth strokes.
Regular Dental Check-ups: Visiting your dentist regularly for professional cleanings and check-ups allows for early detection and treatment of conditions that may lead to gum recession. Your dentist can offer personalized advice tailored to your specific oral health needs.
Quit Smoking: Smoking is strongly linked to the development of gum disease. Quitting smoking can significantly reduce gum damage, lower the risk of gum disease, and improve response to periodontal treatment.
Manage Grinding and Clenching: Bruxism, or teeth grinding, puts excess force on the teeth and gums, contributing to recession. If you grind or clench your teeth, especially at night, consider getting a custom mouthguard from your dentist to protect your gums and brush your teeth more.
Eat a Balanced Diet: Foods rich in vitamins C and D, calcium, and omega-3 fatty acids are beneficial for maintaining healthy gums. Avoid sugary snacks and acidic beverages, which promote plaque formation and gum recession.
Stay Hydrated: Staying well-hydrated by drinking recommended daily amount of water throughout the day enhance saliva production. This natural cleansing action of saliva helps remove particles that can lead to gum disease.
Stress Management: High stress levels can debilitate the immune system and make it harder for the body to beat off infections that cause gum disease. Implementing stress-reduction techniques such as exercise, meditation, or counseling can be beneficial.
Address Misaligned Teeth: Misaligned teeth can place undue stress on the gums and bone, leading to recession. Orthodontic treatment may be recommended to correct alignment and distribute bite force more evenly.
Treatment Options for Early Gum Recession

When addressing early gum recession, various treatment options are available to manage the condition and help prevent further deterioration. Here’s an overview of common treatments for the early stages of gum recession:
Improved Oral Hygiene Practices
The initial approach to addressing gum recession typically involves enhancing oral hygiene practices. This includes using a soft-bristled toothbrush to brush gently yet thoroughly, employing fluoride toothpaste, and committing to daily flossing. Additionally, your dentist might suggest using a mouthwash to help decrease the accumulation of plaque.
Root Planing
This involves a deep cleaning procedure that eliminates tartar and plaque both above and below the gum line, while also smoothing any rough spots on the tooth root. Smoothing the root not only removes bacteria but also creates a clean surface that encourages the gums to reattach to the teeth.
Antibiotic Treatment
If gum recession is accompanied by infection, your dentist might apply topical antibiotics to eliminate harmful bacteria. Sometimes, oral antibiotics may be necessary to treat and clear up infection and inflammation.
Desensitizing Agents
Desensitizing agents may be applied to the affected areas to reduce tooth sensitivity, which is often associated with gum recession. These can help alleviate pain and discomfort by stopping the transmission of pain signals from the tooth surface.
Gum Graft Surgery
If gum recession has progressed significantly, gum surgery may be necessary. In this procedure, tissue is taken from another part of the mouth (often the palate) and attached to the area where the gums have receded. This graft tissue helps protect exposed roots and can encourage gum regeneration. Speaking of surgery, if you want to improve your vision with eye surgery, you may go to https://drantonvanheerden.com.au/ website for more details.
Pinhole Surgical Technique
This procedure offers a minimally invasive alternative to traditional gum grafting. It involves creating a small hole in the existing gum tissue, then using special instruments to gently loosen it. This allows the gum tissue to be repositioned over the areas where the gums have receded.
Orthodontics
Sometimes, correcting the alignment of the teeth can help distribute biting pressure evenly and prevent further gum recession caused by an improper bite or teeth grinding.
Lifestyle Adjustments
Changes such as quitting smoking, improving dietary habits, and managing stress can also help control the progression of gum recession.
In conclusion, experiencing receding gums in your 20s can be an early symptom for potential oral health issues. Knowing the causes and taking proactive steps to address and prevent further gum recession is crucial. By adopting good oral hygiene practices, making informed lifestyle choices, and seeking regular dental care, you can effectively manage and often reverse the effects of receding gums. Don’t wait to take action; start today to ensure your gums and teeth remain healthy for years.
References
Does gingival recession require surgical treatment? – PMC
https://www.ncbi.nlm.nih.gov/pmc/articles/PMC4907322/
Turning Back the Clock on Gum Disease
https://www.nidcr.nih.gov/news-events/2020/turning-back-clock-gum-disease
Receding gums: Treatment, causes, pictures, and prevention
https://www.medicalnewstoday.com/articles/312992
Receding Gums: Causes, Treatment, Surgery
https://www.webmd.com/oral-health/receding_gums_causes-treatments
Exposed Tooth Root Symptoms, Causes, and Treatments
https://www.healthline.com/health/dental-and-oral-health/exposed-tooth-root

