Receding gums from the dip is an issue of tooth decay that plagues countless individuals, presents a concerning dental concern that merits closer examination. This article delves into the pressing matter of receding gums caused by dip, unveiling the potential implications and exploring ways to address this disquieting phenomenon.
With an intent to inform and empower, let us embark on a journey to understand the intricacies surrounding receding gums from the dip, taking tangible steps towards prioritizing oral health and well-being.
Receding Gums: Causes and Risk Factors
Receding gums, a common dental and oral health problem or issue, is characterized by the gradual withdrawal of gum tissue from the teeth, exposing more of the tooth or its root. Many factors, including lifestyle choices and genetic predisposition, can cause this condition.
- Tobacco Use: The use of tobacco products, especially smokeless tobacco, like dipping tobacco and snuff, is a significant risk factor. The tobacco products contain chemicals that can cause gum tissue irritation and contribute to gum recession and even more serious conditions like oral cancer.
- Poor Oral Hygiene: Inadequate brushing and flossing habits can lead to the accumulation of plaque and tartar, which can eventually result in the development of both gum disease and gum recession. Conversely, aggressive brushing can also damage gum tissue and lead to recession.
- Periodontal Disease: Periodontal disease is a primary cause of receding gums. This chronic infection of the gums can destroy gum tissue and the supporting bone structure if left untreated.
- Genetic Predisposition: Certain people have a higher genetic inclination to develop gum disease, which may cause gums to recede despite following correct oral hygiene procedures.
- Hormonal Changes: Changes in hormone levels, especially in females during adolescence, pregnancy, and menopause, can lead to increased sensitivity and susceptibility of gum tissues to recession.
- Teeth Grinding and Clenching: Over time, Bruxism, which is the act of grinding and clenching teeth, can lead to excessive pressure on the teeth and gums, resulting in a gradual recession.
- Misaligned Teeth or Improper Dental Treatments: Crooked teeth or poorly fitted crowns, bridges, or braces can create uneven pressure on the gums and teeth, contributing to gum recession.
The Link Between Dip Chewing and Gum Recession

The act of consuming tobacco by dipping it instead of smoking it, also known as smokeless tobacco use, is now being acknowledged as a major cause of oral health problems, especially gum recession. The habit of placing tobacco between the lip and gum exposes the oral cavity to various harmful substances, leading to a series of dental problems.
Chemical Irritation:
Dip contains a range of chemicals and carcinogens that irritate the gum tissue. This constant irritation can cause the gums to recede from the teeth, exposing more of the tooth and root over time.
Physical Abrasion:
Dipping often involves placing the tobacco product in the same spot in the mouth, causing physical abrasion to the gum line. This repetitive action can lead to mechanically wearing away of the gum tissue.
Inflammatory Response:
The body’s response to the toxins in dip can include inflammation of the gum tissues. Chronic inflammation is a key factor in the development of gum recession.
Increased Risk of Periodontal Disease:
Regular use of dipping tobacco elevates the risk of periodontal disease, which is a major cause of gum recession. The disease involves the inflammation and infection of the gums, which can deteriorate the supporting structure of teeth.
Impaired Blood Supply:
Tobacco use can impair blood flow to the gums, hindering the gum tissue’s ability to heal and maintain its integrity, exacerbating the recession process.
Delayed Healing:
Users of smokeless tobacco products like dip often experience delayed healing in the mouth, making them more susceptible to persistent gum damage and recession.
Cumulative Effects:
The effects of a dip on gum health are cumulative. Prolonged use can lead to significant gum recession, increasing the risk of tooth sensitivity, decay, and loss.
Early Signs and Symptoms of Gum Damage from Dip Use
The use of dip, a form of smokeless tobacco, can lead to early signs and symptoms of gum damage, a crucial concern for dental health. Recognizing these early indications is essential for preventing more severe consequences, such as gum recession and periodontal disease.
- Gum Irritation and Redness: One of the first signs of gum damage from dip use is irritation and redness in the tobacco area. The chemicals in the dip can cause inflammation, leading to noticeable changes in gum appearance.
- Gum Sensitivity: Users may experience increased sensitivity in their gums, particularly where the dip is habitually placed. This sensitivity can be a reaction to the irritants found in the tobacco.
- Bleeding Gums: Regular use of dip can lead to bleeding gums, especially during brushing or flossing. This symptom is often an early indicator of gum disease.
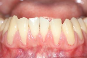
- Receding Gums: Over time, the constant exposure to dip can cause the gums to recede from the teeth. This recession may be more pronounced in the area of the mouth where the dip is typically placed.
- White or Grey Patches in the Mouth: The presence of white or grey patches inside the mouth, known as leukoplakia, is a common symptom among smokeless tobacco users and can be a precursor to more serious conditions.
- Bad Breath: Despite good oral hygiene, persistent bad breath can indicate the onset of gum disease caused by dip use.
- Loose Teeth: In more advanced cases, the gums may become so damaged that they no longer securely hold the teeth, leading to tooth mobility or loosening.
Treatment Options for Gum Recession Caused by Dip

Gum recession, a common consequence of using dip or smokeless tobacco, requires timely and appropriate dental treatment to mitigate the risks of further oral health complications. Various treatment options are available, tailored to the severity of the recession and the patient’s specific needs.
- Scaling and Root Planing: This non-surgical procedure involves deep cleaning teeth and gums. It removes plaque and tartar buildup below the gum line, halting further recession and aiding in gum healing.
- Gum Grafting Procedures: Gum grafting may be necessary for more severe gum recession. This involves transplanting tissue from the patient’s palate or using synthetic materials to cover exposed tooth roots and restore the gum line.
- Pinhole Surgical Technique (PST): A minimally invasive alternative to traditional grafting, PST involves creating a small hole in the gum tissue to reposition and stabilize the gum line without sutures or grafts.
- Laser Therapy: Certain laser treatments can be used to treat gum recession. Laser therapy stimulates gum tissue regeneration and can reduce bacteria levels around the gums.
- Orthodontics: In cases where misaligned teeth exacerbate gum recession, orthodontic treatment can help reposition the teeth and alleviate undue pressure on the gums.
- Guided Tissue Regeneration: This technique involves placing a regenerative material between the exposed tooth root and the gums. It encourages the natural regrowth of gum tissue in the affected areas.
- Lifestyle Changes and Oral Hygiene Improvement: Quitting dip and improving oral hygiene are fundamental steps. Regular brushing, flossing, and mouthwash can help maintain gum health and prevent further recession.
In conclusion, receding gums can be a concerning issue that may lead to dental problems if left unaddressed. It is extremely important to promptly attend to this condition in order to avoid additional harm and the possibility of losing teeth. People who have receding gums can effectively control and enhance their oral health by noticing the early symptoms, seeking assistance from a professional, and practicing appropriate dental hygiene techniques. Incorporating strategies like using a gum stimulant, limiting dipping products containing harmful ingredients, and adopting a well-rounded oral care routine can greatly contribute to gum and overall health. Remember, proactive measures are key to maintaining healthy gums and a confident smile.
References
Can Dip Affect Your Teeth and Gums?
https://www.healthline.com/health/can-dip-affect-your-teeth-and-gums
Dip and Gum Disease: Treatment and Prevention
https://www.byte.com/community/resources/article/dip-gum-disease-treatment-prevention/
Altmbak Dipping: Prevalence, Attitude, and Trends Towards Cessation Among Male Pharmacy Students
https://www.researchgate.net/publication/283350627_Altmbak_dipping_prevalence_attitude_and_trends_towards_cessation_among_male_pharmacy_students
Chewing Tobacco: Mayo Clinic
https://www.mayoclinic.org/healthy-lifestyle/quit-smoking/in-depth/chewing-tobacco/art-20047428
The effects of smoking cigarettes and smokeless tobacco on oral health
https://www.ncbi.nlm.nih.gov/pmc/articles/PMC4202691/

